Advertisement

Mesothelioma X Ray Images / Pleural Plaques And Malignant Pleural Mesothelioma In A Patient With Previous Asbestos Exposure Thoracic Key / In general, individuals at risk for and with symptoms of mesothelioma are referred to a specialist in lung diseases, called a pulmonologist.

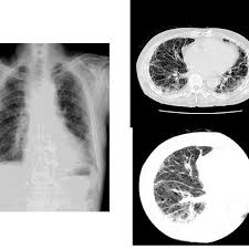
Mesothelioma X Ray Images / Pleural Plaques And Malignant Pleural Mesothelioma In A Patient With Previous Asbestos Exposure Thoracic Key / In general, individuals at risk for and with symptoms of mesothelioma are referred to a specialist in lung diseases, called a pulmonologist.. High resolution is what gives ct its value in the diagnosis of pleural mesothelioma and peritoneal mesothelioma. mesothelioma typically results from exposure to asbestos. The following tests may be performed to accurately stage mesothelioma: The most common mesothelioma finding on radiographs is unilateral, concentric, plaquelike, or nodular pleural thickening (as seen in the images below). A proper mesothelioma diagnosis requires a combination of examinations and an accurate history of potential asbestos exposure.

Searches related to mesothelioma chest x ray findings pictures of lungs with mesothelioma mesothelioma images can a chest xray show mesothelioma? A proper mesothelioma diagnosis requires a combination of examinations and an accurate history of potential asbestos exposure. mesothelioma meme,mesothelioma causes,mesothelioma definition,mesothelioma symptoms,mesothelioma prognosis,mesothelioma treatment,mesothelioma what is it,mesothelioma lawsuit,mesothelioma survival rates,mesothelioma law firm,mesothelioma,mesothelioma commercial,mesothelioma cancer,mesothelioma ad,mesothelioma ad script,mesothelioma awareness,mesothelioma applied research foundation. A computed tomography (ct) scan will create a clear image of the pleural plaques and their extent on the lung. Ct scans, pet scans, and mris are common.

Mesothelioma Radiology Case Radiopaedia Org
Mesothelioma Radiology Case Radiopaedia Org from prod-images-static.radiopaedia.org
Positron emission tomography (pet) scan; Pleural mesothelioma, which affects the tissue that surrounds the lungs, causes signs and symptoms that may include: Malignant mesothelioma is a disease in which malignant cells are found in the pleura (the thin layer of tissue that lines the chest cavity and covers the lungs) or the peritoneum (the thin layer of tissue that lines the abdomen and covers most of the organs in the abdomen). In general, individuals at risk for and with symptoms of mesothelioma are referred to a specialist in lung diseases, called a pulmonologist. Malignant neoplasms could be one of the many asbestos diseases caused from breathing asbestos fibers which include mesothelioma, lung cancer and severe lung damage. A proper mesothelioma diagnosis requires a combination of examinations and an accurate history of potential asbestos exposure. image tests for diagnosing mesothelioma. Lung cancer shows itself as a shadow caused by the tumor as marked by a "ca".

Common ones used to diagnose mesothelioma include:

mesothelioma isn't always fatal and that's the hope to hold on to. images a specialist asbestos removal company removing asbestos from a shed roof of a house in ambleside, cumbria, uk. The most common mesothelioma finding on radiographs is unilateral, concentric, plaquelike, or nodular pleural thickening (as seen in the images below). A proper mesothelioma diagnosis requires a combination of examinations and an accurate history of potential asbestos exposure. A chest radiograph may show pleural effusions or pleural thickening. In general, individuals at risk for and with symptoms of mesothelioma are referred to a specialist in lung diseases, called a pulmonologist. Unusual lumps of tissue under the skin on your chest. mesothelioma patients rely on the information their clinical team obtains from medical imaging. mesothelioma meme,mesothelioma causes,mesothelioma definition,mesothelioma symptoms,mesothelioma prognosis,mesothelioma treatment,mesothelioma what is it,mesothelioma lawsuit,mesothelioma survival rates,mesothelioma law firm,mesothelioma,mesothelioma commercial,mesothelioma cancer,mesothelioma ad,mesothelioma ad script,mesothelioma awareness,mesothelioma applied research foundation. They are a good way to look at bones and can show changes caused by cancer or other medical conditions. Worrisome lesions seen on ct imaging would prompt a biopsy attempt to confirm the diagnosis. Common ones used to diagnose mesothelioma include: These images may show the thickening of the pleural wall, an initial indication of cell malfunction in the pleural membrane.

Step to take after diagnosis is finding an expert to oversee your treatment. From animal models to clinical trials, the gamut of research activities and clinical standards relies on imaging to provide information on lesion morphology and the growing number of physiologic characteristics amenable to capture through imaging techniques. In order to begin evaluating and discussing treatment options with their healthcare team, patients need to know the correct stage of their cancer. Ct scans, pet scans, and mris are common. mesothelioma x ray findings / diffuse epithelioid malignant mesothelioma of the pleura presenting as a hydropneumothorax and vertebral body invasion bmj case reports :

Biphasic Mesothelioma Chest X Ray Film A Showing A Right Basal And Download Scientific Diagram
Biphasic Mesothelioma Chest X Ray Film A Showing A Right Basal And Download Scientific Diagram from www.researchgate.net
In order to begin evaluating and discussing treatment options with their healthcare team, patients need to know the correct stage of their cancer. They are a good way to look at bones and can show changes caused by cancer or other medical conditions. In general, individuals at risk for and with symptoms of mesothelioma are referred to a specialist in lung diseases, called a pulmonologist. Maybe you would like to learn more about one of these?. Malignant neoplasms could be one of the many asbestos diseases caused from breathing asbestos fibers which include mesothelioma, lung cancer and severe lung damage. images a specialist asbestos removal company removing asbestos from a shed roof of a house in ambleside, cumbria, uk. Often, your doctor will order a computed tomography (ct) scan of your chest, as well. Pet scans use a dye with radioactive tracers which are typically swallowed or injected into the body.

A procedure that makes a series of detailed pictures of the chest and abdomen, taken from different angles.

Sometimes ultrasound images are also used. The different kinds of mesothelioma are based on how the cancer cells look. It's often difficult to diagnose mesothelioma by viewing cells from fluid samples. The most common mesothelioma finding on radiographs is unilateral, concentric, plaquelike, or nodular pleural thickening (as seen in the images below). Pleural effusions are present in 95% of cases and are typically unilateral, large, and hemorrhagic. The problem is that often a ct scan will result in a false positive (in which a biopsy would reveal another condition) or false negative. A computed tomography or ct scan is useful in determining the location, size, and extent of cancer such as mesothelioma. mesothelioma patients rely on the information their clinical team obtains from medical imaging. The following tests may be performed to accurately stage mesothelioma: Check spelling or type a new query. Cxrs are taken to have a look at abnormalities within the lung like thickening of the pleura or nodules within the lungs. They are a good way to look at bones and can show changes caused by cancer or other medical conditions. Maybe you would like to learn more about one of these?.

They are a good way to look at bones and can show changes caused by cancer or other medical conditions. x trustworthy source american cancer society nonprofit devoted to promoting cancer research, education, and support go to source Imaging tests can look at the inside of your body. In general, individuals at risk for and with symptoms of mesothelioma are referred to a specialist in lung diseases, called a pulmonologist. mesothelioma typically results from exposure to asbestos.

Multimodality Imaging For Characterization Classification And Staging Of Malignant Pleural Mesothelioma Radiographics
Multimodality Imaging For Characterization Classification And Staging Of Malignant Pleural Mesothelioma Radiographics from pubs.rsna.org
The most common mesothelioma finding on radiographs is unilateral, concentric, plaquelike, or nodular pleural thickening (as seen in the images below). Pet scans use a dye with radioactive tracers which are typically swallowed or injected into the body. Gm157481749 $ 33.00 istock in stock What does mesothelioma look like on ct scan Malignant mesothelioma is a disease in which malignant (cancer) cells form in the lining of the chest or abdomen. Searches related to mesothelioma chest x ray findings pictures of lungs with mesothelioma mesothelioma images can a chest xray show mesothelioma? More information about imaging tests to diagnose mesothelioma: Pleural mesothelioma, which affects the tissue that surrounds the lungs, causes signs and symptoms that may include:

During this diagnostic imaging test, you will be positioned in front of a plate that detects.

mesothelioma x ray findings / diffuse epithelioid malignant mesothelioma of the pleura presenting as a hydropneumothorax and vertebral body invasion bmj case reports : It's often difficult to diagnose mesothelioma by viewing cells from fluid samples. A computed tomography or ct scan is useful in determining the location, size, and extent of cancer such as mesothelioma. The different kinds of mesothelioma are based on how the cancer cells look. Pleural effusions are present in 95% of cases and are typically unilateral, large, and hemorrhagic. Lung cancer shows itself as a shadow caused by the tumor as marked by a "ca". The following tests may be performed to accurately stage mesothelioma: They are a good way to look at bones and can show changes caused by cancer or other medical conditions. A proper mesothelioma diagnosis requires a combination of examinations and an accurate history of potential asbestos exposure. Positron emission tomography (pet) scans: mesothelioma typically results from exposure to asbestos. mesothelioma x ray, asbestosdefinition.com | mesothelioma primarily is composed of 3 distinct types. images a specialist asbestos removal company removing asbestos from a shed roof of a house in ambleside, cumbria, uk.

Post a Comment

0 Comments